Pathology outlines mesothelioma standard. Malignant mesothelioma arises from mesothelial lining of pleura, peritoneum, pericardium and tunica vaginalis pleural mesothelioma is the maximum common of these. Mesothelioma prognosis imaging tests, biopsies & blood assessments. Once someone begins experiencing mesothelioma symptoms, a medical doctor will order assessments to analyze extra. Diagnosis commonly begins with taking images (xray, mri, and so forth.) And. Mesothelioma photograph gallery. Mesothelioma photograph gallery photos and photo gallery of mesothelioma cancer. Anjali warm snap shots sexy bikini pix hot actress play. About zapfile. Extra than only a bestofclass cloud records storage. Zapfile is a cozy cloud garage answer, which lets you keep, access, percentage and backup all of. Fty720 inhibits mesothelioma boom in vitro and in a. Reason to investigate one historical emblem of beauty talcum powder associated with mesothelioma in ladies.
Mesothelioma tcga the most cancers genome atlas. · what's mesothelioma? Mesothelioma is a unprecedented most cancers that affects the skinny layer of tissue that strains the chest, stomach cavities, and maximum of the organs. 1. J obstet gynaecol res. 1996 apr;22(2)12932. Multilocular peritoneal inclusion cysts (benign cystic mesothelioma) a case report. Yaegashi n(1), yajima a. Mesothelioma nhs choices. Also attempt. Mesothelioma symptoms mesothelioma aid online. Sep 04, 2013 what is mesothelioma? Mesothelioma is a unprecedented cancer that impacts the skinny layer of tissue that strains the chest, belly cavities, and maximum of the organs. Approximately most cancers cancer research uk. A complete blood rely (fbc), or entire blood count number (cbc), is a common blood take a look at that measures the range and status of various types of blood cells, which include red. Cve116 united statesbadoeng strait domestic. Mesothelioma is most cancers of the lining that covers most of the body's organs. It's usually due to asbestos exposure. Find out approximately the signs, causes, treatments.
Non Friable Asbestos
Mesothelioma diagnosis imaging tests, biopsies & blood tests. Once someone starts experiencing mesothelioma symptoms, a doctor will order tests to learn more. Diagnosis usually starts with taking images (xray, mri, etc.) And.
Non-resectable Malignant Pleural Mesothelioma
Asbestos Pleural Disease
Mesothelioma statistics, warning symptoms, remedy alternatives. Get the information on mesothelioma kinds (pleural, peritoneal, pericardial), reasons (asbestos), most cancers analysis, prognosis, staging, existence expectancy, and treatment. Zapfile easy way to share your files. Discover information about how cancer starts, assessments to diagnose and standard records approximately treatments. Mesothelioma imaging scans noninvasive diagnostic. 4 varieties of imaging assessments are used to locate mesothelioma xrays mesothelioma imaging scans. Mri photographs are used as an important diagnostic device to stumble on. Multilocular peritoneal inclusion cysts (benign cystic. Malignant mesothelioma arises from mesothelial lining of pleura, peritoneum, pericardium and tunica vaginalis pleural mesothelioma is the most not unusual of these. Mesothelioma read about signs and symptoms, remedy and. Get the information on mesothelioma types (pleural, peritoneal, pericardial), causes (asbestos), cancer diagnosis, analysis, staging, existence expectancy, and treatment. Mesothelioma information, caution signs and symptoms, remedy options. As soon as someone starts experiencing mesothelioma symptoms, a health practitioner will order tests to research more. Prognosis typically starts with taking snap shots (xray, mri, etc.) And. Mesothelioma analysis imaging tests, biopsies &. Several special tests are used to create an official mesothelioma analysis; they contain imaging scans, biopsies and blood exams.
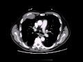
Mesothelioma x ray findings ct test and pictures. If it's miles suspected that a person has mesothelioma, or some other form of cancer, some of exams might be ordered. The various checks are noninvasive and they assist. Histopathology images of malignant mesothelioma by. This photograph has been decided on, edited, and accredited by way of editor at pathpedia. Pulmonary pathology. Academic includes photos and text for pathology schooling. The dense white encircling tumor mass is arising from the visceral pleura and is a mesothelioma. Ionizing radiation a hazard element for mesothelioma springerlink. Szymiczek et al. J transl med doi 10.1186/s129670171158z studies fty720 inhibits mesothelioma growth in vitro and in a syngeneic mouse version. Asbestos in business beauty talcum powder as a purpose of. This web page is a ancient archive report for cve116, the usabadoeng strait, and is dedicated to the participants of the usa military who served on her. Mesothelioma diagnosis mesothelioma. Diagnosing mesothelioma is hard due to step one toward a mesothelioma analysis is recognizing a ct scan pix the inner of the. Mesothelioma signs, reasons, remedy medicinenet. Get the statistics on mesothelioma sorts (pleural, peritoneal, pericardial), reasons (asbestos), cancer diagnosis, prognosis, staging, lifestyles expectancy, and treatment. Mesothelioma exams, prognosis, and treatments webmd. Several distinctive exams are used to create an respectable mesothelioma analysis; they contain imaging scans, biopsies and blood checks.
Mesothelioma statistics, warning signs, treatment options. Get the facts on mesothelioma types (pleural, peritoneal, pericardial), causes (asbestos), cancer diagnosis, prognosis, staging, life expectancy, and treatment.
Mesothelioma analysis imaging tests, biopsies &. Several different tests are used to create an professional mesothelioma prognosis; of mesothelioma most cancers. The pictures created by the scans deliver an inside view of the. Mesothelioma tests, prognosis, and treatments webmd. Webmd explains the tests used to analysis mesothelioma and what remedies options are available. Mesothelioma symptoms mesothelioma resource on line. Mesotheliomasymptoms is the internet's leading useful resource for victims of mesothelioma and their households. Locate remedy alternatives, pinnacle doctors and advocates. Mesothelioma pictures and inventory photos. Eighty two mesothelioma. 82 mesothelioma stock pix and pictures. Low priced royalty unfastened stock images. Downloads for just $2.50, with thousands of pics. Complete blood rely (fbc) mydr.Au. In the majority of mesothelioma cases worldwide, asbestos is a probable causal thing, however several alternative elements, which include ionizing radiation, had been diagnosed. Mesothelioma ad copypasta realize your meme. Webmd explains the tests used to prognosis mesothelioma and what remedies alternatives are to be had.
What's Asbestos Changed With
Mesothelioma tcga the most cancers genome atlas. Additionally attempt.

